マウスピース矯正 やっぱり1位はココ
信頼できる矯正ブランドの特徴は?
【PR】

歯列矯正にはオススメの方法があります。絶対抑えてほしい注意点を踏まえて紹介しますね!
ワイヤー矯正のリアル

歯列矯正では主流のワイヤー矯正ですが、これが実際かなりしんどい。
・矯正器具が目立つ
・結構痛い
・食事・歯磨きしづらい
・虫歯リスク
・取り外しできない
このデメリットに耐えつつ、1〜3年生活しなければならないんです。
控えめに言って、地獄の数年間。
でも、安心してください。ワイヤー矯正よりも、
- トータル費用が安い
- 見た目が損なわれない
- 痛みが少ない
- 治療期間短い
というおすすめの歯列矯正があります!それが…
今オススメの歯列矯正
従来のワイヤー矯正のデメリットが解消された、ここ数年で人気な矯正治療が、マウスピース矯正。

マウスピース |
ワイヤー |
|
|---|---|---|
総額目安 |
〇 |
△ |
治療期間 |
〇 |
△ |
痛み |
〇 |
△ |
メリット |
透明で目立ちにくい |
ほぼすべての症例に対応 |
デメリット |
1日20時間程度装着 |
目立つ・取り外し不可 |
※出典:スマイルモア矯正
もちろんデメリットもありますが、コスパや見た目の良さ・痛みの少なさなどのメリットがとても充実しています

適応症例も幅広くなっているので、よほど重度でなければマウスピースで矯正できちゃいます◎
美容効果にも期待!

症例によっては、矯正によってフェイスラインも整い、口ボゴ改善・Eライン獲得ができることも!
ただし、マウスピース矯正はブランド・医院の選び方で絶対抑えてほしい注意点が2つがあります…
@技術力の高い医院と提携しているところを選ぶ

矯正歯科医なら誰でも治療自体はできるので、マウスピース矯正の知見がない医師が担当になる可能性も…

従来のワイヤー矯正とは異なる知見も必要なので。ハズレ医師に当たると危険!
実際に、日本矯正歯科学会が
歯科医の治療が不十分な場合は大トラブルに繋がり、非常に危険
というように警鐘を鳴らしています。
参照:https://www.jos.gr.jp/4348
なので、マウスピース矯正治療の実績が多い医院と提携しているブランドを選びましょう!
そしてもう一つ、選んではダメなマウスピース矯正についてもシェアします。
A【重要】通院なしの矯正は非推奨

「通院不要」「自宅で完結」を売りにしているマウスピース矯正もあるけど、
歯科医と細かくコミュニケーションが取れないのはめっちゃ危険。
| 通院あり | 不明点を直接・細かく相談可能 定期的な通院でトラブルを防止 |
|---|---|
| 通院なし | 初回カウンセリング後は自宅で完結 経過観察はチャット |
治療中トラブルに気づかず、理想の歯並びにならず治療終了⇒再矯正(費用追加)となる可能性も…!
「通院の手間なし」で選ぶのはリスクが大きいのでNG
ここまでの内容を踏まえて、マウスピース矯正で失敗したくないなら次の3点に注意すること!
失敗しないマウスピース矯正の選び方
治療実績が豊富な医院と提携しているかをチェック
理想の歯並びにするため、歯科医と綿密にコミュニケーションがとれるか
治療実績が多いマウスピースが確実・安心◎
以下で、ここまでの条件を満たす、おすすめのマウスピース矯正を3社ご紹介します♪
失敗しないマウスピース矯正3選
→→ スマホ閲覧時は横スクロール →→
※1:調査対象:スマイルモア矯正の無料カウンセリングを受けた方 調査期間:2024年7月1日〜2025年6月30日
※2:総額18.7〜42.9万円。症状やご希望の治療内容によっては、この範囲を超える費用が発生する場合がございます。
※3:デンタルローンを利用して17万円(税込18.7万円)を頭金なし・78回払いで支払う場合の分割支払金額
※4:治療効果や治療期間には個人差があります。
※5:2026年1月時点
※6:クリアコレクトMINI\288,000(税込)を分割払い(初回5,417円)、月々3,200円払う場合
まずは無料カウンセリングへ!

悩んでいる方は、無料カウンセリングで気になる点を相談してみましょう。
カウンセリングでは、
- 現在の歯並びを検査
- マウスピース矯正への適性
- 歯並び改善ののシミュレーション
- 費用の詳細
などを細かく説明・すり合わせできます。
実際契約するかは、カウンセリング後の判断でOKですよ!
スマイルモア矯正
- 技術力の高いクリニックを厳選して提携
- 対面診療で治療を徹底サポート
- 世界4大メーカーのマウスピース使用
- 初診・初期費用0円
- 軽度・中度なら最短3か月※3で治療完了
| 総額目安 | 月額分割料金 | 治療期間目安 |
|---|---|---|
| 17万〜40万円※1 | 月3,000円〜※2 | 3か月〜12か月※3 |
| 提携医院数 | 保証 | 使用マウスピース |
| 170院以上※4 | マウスピース 無料再製作※5 |
インビザライン インビザラインGo等 |
※1:総額18.7〜42.9万円。症状やご希望の治療内容によっては、この範囲を超える費用が発生する場合がございます。
※2:デンタルローンを利用して17万円(税込18.7万円)を頭金なし・78回払いで支払う場合の分割支払金額
※3:治療効果や治療期間には個人差があります。
※4:2026年1月時点
※5:ご契約プランによって保証内容は異なります
低コストを実現しつつ、マウスピース・提携クリニックは実績のあるもののみを厳選。
お手軽・かつ安心して治療を受けられるマウスピース矯正です◎
- トータル費用が安いところがいい
- ちゃんと歯並びが良くなるか心配
- 駅近で通いやすい医院で選びたい
- 信頼できる歯科医に治療してほしい
- 症状が軽度・中度の人
\最短3か月で理想の歯並びへ/
▲初回カウンセリング無料・初期費用なし▲

詳細情報
費用:170,000円(税込187,000円)
治療期間:2ヶ月
治療内容:マウスピースを用いた歯列矯正
追加処置:IPR
※保険適用外の自由診療となります。
※効果や感じ方には個人差があります。
※マウスピース矯正の主なリスク: 虫歯・歯周病・ブラックトライアングル・歯根吸収・歯肉退縮・1日20時間以上のマウスピース装着が必須・マウスピースにより痛みを感じる可能性・治療中に一時的にかみ合わせに不具合をきたす可能性・リテーナーを最低1年間は1日20時間以上装着、その後徐々に着用時間を減らし、2年目以降は夜間のみの着用推奨。

詳細情報
費用:360,000円(税込396,000円)
治療期間:1年
治療内容:マウスピースを用いた歯列矯正
追加処置:IPR
※保険適用外の自由診療となります。
※効果や感じ方には個人差があります。
※マウスピース矯正の主なリスク: 虫歯・歯周病・ブラックトライアングル・歯根吸収・歯肉退縮・1日20時間以上のマウスピース装着が必須・マウスピースにより痛みを感じる可能性・治療中に一時的にかみ合わせに不具合をきたす可能性・リテーナーを最低1年間は1日20時間以上装着、その後徐々に着用時間を減らし、2年目以降は夜間のみの着用推奨。

詳細情報
費用:170,000円(税込187,000円)
治療期間:2ヶ月
治療内容:マウスピースを用いた歯列矯正
追加処置:なし
※保険適用外の自由診療となります。
※効果や感じ方には個人差があります。
※マウスピース矯正の主なリスク: 虫歯・歯周病・ブラックトライアングル・歯根吸収・歯肉退縮・1日20時間以上のマウスピース装着が必須・マウスピースにより痛みを感じる可能性・治療中に一時的にかみ合わせに不具合をきたす可能性・リテーナーを最低1年間は1日20時間以上装着、その後徐々に着用時間を減らし、2年目以降は夜間のみの着用推奨。
世界トップシェアのマウスピース等を使用

スマイルモア矯正では「インビザライン」等を使用。
全世界で2,000万人以上の治療実績※があり、その症例データに基づいた精密な矯正治療が可能です◎
※2020年11月~2025年9月提携院の総患者数(スマイルモア矯正以外も含む)
| インビザライン | その他マウスピース | |
|---|---|---|
| 適応症例 | ほぼ全てに対応可 | 部分矯正中心 |
| 歯のスキャン | 1回のスキャンでマウスピースをまとめて作成可能 | 交換のたびスキャンする場合も |
| 治療の精度 | 高い 2,000万以上の症例に基づく |
技術力にばらつきあり |
症例への対応力・実績の信頼度はバツグン!
実績のあるクリニックを厳選

スマイルモア矯正が提携しているクリニックは全国に170院以上※。駅近クリニックも多いので、通いやすさは抜群!
※2026年1月時点
さらに、提携医院は確かな技術を持つ歯科医院だけを厳選しています。

中にはインビザラインの最高ランク認定を受けた歯科医も在籍♪
初診は無料・不明点も細かく質問できるので、不安なことがあればまずは相談してみましょう!
安心の保証つき

スマイルモアでは、シミュレーション通りに歯が動かなかったときは無償でマウスピースを作り直してくれます。
※ご契約プランによって保証内容は異なります
必ずしもシミュレーション通りに歯が動くとは限らないので、万が一のときのために保証があると安心!
無料カウンセリング〜施術の流れ

ここから予約できます。
予約は30秒で完了。入力する情報はお名前と電話番号のみでOK!
詳しい診断をするために検査を実施。
治療後の歯並びや、費用の詳細を説明。
しつこい営業はナシ。一度持ち帰り検討しても大丈夫ですよ^^
クリニックか自宅で受け取り。自分専用のマウスピースで治療が始まります!
無理に勧められることはなかった
無料相談ではその場で契約する流れに話を持っていかれるところが多いイメージだったので、初めは不安でしたが、メリットデメリットをしっかりと教えてくださったのが、とても好印象でした。(20代女性)
初回カウンセリングが分かりやすい
自分の歯をスキャンしてアフター写真が見れるのでわかりやすい。無料ですし、自分の歯がマウスピースで矯正できるできないがわかる(30代女性)
矯正プランを分かりやすく教えてくれる
矯正の費用や期間など的確に教えて頂いた点や、部分矯正と全体矯正を比較しながら説明してくださったので、今の自分の歯の状態に何が適してるのか明確にすることができた(20代女性)
出典:スマイルモア矯正公式HP https://clearsmile.jp/articles/reviews-smilemore
\総額17万円から治療可能※/
▲最短30秒で近くの医院を予約▲
※総額18.7〜42.9万円。症状やご希望の治療内容によっては、この範囲を超える費用が発生する場合がございます。
| 北海道・東北 | |
|---|---|
| 関東 | |
| 中部 | |
| 関西 | |
| 中国・四国 | |
| 九州・沖縄 |
ウィ・スマイル

- 厳正な審査で歯科医院を厳選
- 世界三大ブランドのマウスピース使用
- 幅広い症例へ対応可能
- 全国に150院以上提携
| 総額目安 | 月額分割料金 | 治療期間目安 |
|---|---|---|
| 23.1万〜51.7万 | 月3,000円〜※1 | 3か月〜11か月※2 |
| 提携医院数 | 保証 | 使用マウスピース |
| 150院以上※3 | なし ※治療が完了しない場合は歯科医と相談の上追加コース設定 |
インビザライン クリアコレクト シュアスマイル |
※1:デンタルローンを利用して10回コース(330,000円)を120回払いで利用した場合の分割支払金額です
※2:治療効果や治療期間には個人差があります。
※3:2026年1月時点
分かりやすく続けやすいプランで治療を受けられる!
医院はインビザライン最高ランク認定保有など高い技術力◎
- 技術力の高い歯科医に治療してほしい
- 自分の症例で治療可能か不安
- フェイスラインを綺麗にしたい
(提携医院は厳正な審査を通過)
ウィ・スマイルで無料相談予約⇒
提携医院のレベルはトップクラス

ウィ・スマイルの提携医院は、厳正な審査を通過した医院のみ!
日本・海外でトップクラスの歯科医も在籍
- 矯正インストラクター
- レッドダイヤモンドDr.
- 世界サミット選出Dr.
- 年間1,000症例対応Dr.
信頼できる医院・歯科医で選ぶなら有力な選択肢です◎
短期間で歯並びが綺麗に
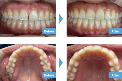
15か月だけで歯並びがこんなに綺麗になるなんて今でも不思議と思います!
毎回の予約もスムーズでスタッフさんも丁寧に案内してくれます。マウスピース作り直しの対応も素敵でした!
綺麗な歯並びで結婚式へ
本当に歯並びがキレイになるだけで印象が全然違うし、結婚式に間に合って良かった!
矯正は時間がかかるものなので、人生の大きなイベントを見据えて早めにやっておくことをおすすめします。
出典:Instagram
\初回カウンセリングは無料/
▲しつこい営業は一切なし▲
| 北海道・東北 | |
|---|---|
| 関東 | |
| 中部 | |
| 関西 | |
| 中国・四国 | |
| 九州・沖縄 |
湘南美容歯科

- インビザライン社より表彰あり
- 業界トップシェアマウスピース使用
- 軽〜重度症状まで対応可能
- 痛み軽減の補助装置付きプランも
| 総額目安 | 月額分割料金 | 治療期間目安 |
|---|---|---|
| 28.8万〜95.3万 | 約3,200円〜※1 | 約4か月〜2.5年※2 |
| 医院数 | 保証 | 使用マウスピース |
| 9院※3 | 発注後5年間※4の矯正器具 | インビザライン 湘南マウスピース等 |
※1 クリアコレクトMINI\288,000(税込)を分割払い(初回5,417円)、月々3,200円払う場合
※2 治療効果や治療期間には個人差があります。
※3 2026年1月時点
※4 治療プラン発注後5年間の修正に制限はありません。リテーナーの作成含めての5年間となります。
世界共通の認定ランクの中でも最上位の医院ながら、価格帯はリーズナブル。
通える範囲であれば超有力な選択肢になります!
- 美容医療実績の多い歯科で治療したい人
- セカンドピニオンを受けたい人
- 痛みの少なさを優先して選びたい人
- 毎月の通院が苦じゃない人
インビザライン最上位ランク歯科医院
インビザライン社の世界共通認定ランク最上位、パープルダイヤモンド(年間症例数1,500件以上)を取得した医院です。
マウスピース矯正だけでも20,208件(2025年12月末)の豊富な治療実績あり。今回紹介する中でも、実績・歯科医の腕共にピカイチです!

期間中にマウスピース矯正治療を開始すると、1回19,800円分のボツリヌス治療をプレゼント!

顎関節症やエラ張りが気になる方は要チェック!
4月30日(木)までに治療開始した方が対象です!
まなみさん(女性/20代)
悩んでいた歯並びを、半年という短い期間で改善でき、周りからも綺麗になったねと言ってもらえて、勇気を出してやってよかったなと思えました!
参照元:矯正歯科ネット 湘南美容クリニック仙台院 歯科(湘南美容歯科グループ)の口コミ
まいまいさん(女性/20代)
SNSを見て来院しまいた。
ずっとマウスピース矯正をしたかったんですが、価格で迷っていましたが、こちらは価格も安く先生が親身になってお話を聞いてくれました。ずっと笑うのが苦手でしたが、矯正をして笑えるようになりました。
本当に心からやってよかったなと思いました。
参照元:矯正歯科ネット 湘南美容クリニック仙台院 歯科(湘南美容歯科グループ)の口コミ
はーちゃんさん(女性/20代)
いったん施術が全て終わった段階でまだ仕上がり納得できなかったのですが、2回も保証がついており、自分の満足いくまでやり切れたのがとても良かったです。
2回目の保証分の施術後は満足いく結果になり、友達からも歯並びキレイと言われるようになり、ハッピーです。
根気強く施術にあたってくださり、ありがとうございました!
参照元:矯正歯科ネット 湘南歯科クリニック 池袋院(湘南美容歯科グループ)の口コミ
\初回カウンセリング無料/
▲マウスピース矯正の実績多数▲
| 北海道・東北 | |
|---|---|
| 関東 | |
| 中部 | |
| 関西 | 九州・沖縄 |
マウスピース矯正ならお手軽・短期間

従来のワイヤー矯正では、すきっ歯や出っ歯などの軽度・中度の症状でも60万円以上もかかっていました。
しかし、マウスピース矯正なら更に安く・痛みも少なく治療をすることが可能に!
マウスピース |
ワイヤー |
|---|---|
|
目安総額17〜39万 |
目安総額60〜90万 |
|
治療期間最短約3か月 |
治療期間最短約1年 |
矯正の痛みは軽め |
矯正に痛みが伴う |
|
透明で目立たない |
目立つ・取り外し不可 |
※出典:スマイルモア矯正
軽度・中度の症状ならマウスピースでリーズナブルに矯正可能!
一括払いが難しい場合は、デンタルローンで月額約3,000円代※での治療もできますよ♪
※総額18.7〜42.9万円。症状やご希望の治療内容によっては、この範囲を超える費用が発生する場合がございます。/デンタルローンを利用して17万円(税込18.7万円)を頭金なし・78回払いで支払う場合の分割支払金額
まずはスマイルモア矯正へ無料相談

- 総額17万円〜治療可能※1
- 技術力の高い医院のみ提携
- 全国に170院以上展開※2
- 万が一の場合マウスピース作り直し可※3
※1:総額18.7〜42.9万円。症状やご希望の治療内容によっては、この範囲を超える費用が発生する場合がございます。
※2:2026年1月時点
※3:ご契約プランによって保証内容は異なります
スマイルモアでは、強引な営業トークは一切なし。
まずは無料カウンセリングで、どのような治療ができるか聞いてみましょう!
\最短30秒で予約完了/
▲月額3,000円〜※で理想の歯並びへ▲
※総額18.7〜42.9万円。症状やご希望の治療内容によっては、この範囲を超える費用が発生する場合がございます。/デンタルローンを利用して17万円(税込18.7万円)を頭金なし・78回払いで支払う場合の分割支払金額
\近所にある店舗をチェック↓/
| 北海道・東北 | |
|---|---|
| 関東 | |
| 中部 | |
| 関西 | |
| 中国・四国 | |
| 九州・沖縄 |
★4.5
★4
17万〜約40万
23.1万〜約51.7万
28.8万〜95.3万
